La metanfetamina se puede fumar, inhalar, inyectar, o tomar en forma de pastilla.
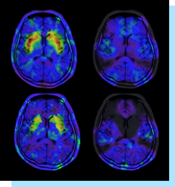
Los estimulantes como la metanfetamina funcionan diciéndole al cerebro que suelte mucha dopamina, un químico que puede hacerte sentir feliz a corto plazo. Pero con el tiempo, la metanfetamina puede agotar el cerebro en áreas importantes que te hacen sentir bien, lo que con el tiempo resulta en depresión y mal humor. La metanfetamina también puede causar problemas cardíacos inmediatamente y otros problemas de salud a través de sus efectos estimulantes en el cuerpo y estos pueden poner en peligro tu vida.
De todas las drogas recreativas, la metanfetamina eleva la dopamina y cómo se siente la persona a los niveles más altos y a los más bajos. Es por esto que se considera una de las drogas más adictivas.
